Braces Before and After – The Experience



Braces Before and After

Most of our current and prospective patients ask about the appearance of braces before and after. This is totally understandable given that their primary concern is how their smile is going to look once their treatment program is complete.

At Bachmann Orthodontics we are concerned with not just the final result but also the experience for patients as they progress through our treatment programs. We have spent a significant amount of time, care, energy and money to ensure our facilities are world class and that our staff are trained to an exceptionally high standard. It’s no surprise that our traditional German precision and efficiency show through in the setup and standard of our facilities and treatment methodologies & technology.

We believe that this translates into not only a truly positive & memorable experience for our patients but superior dental outcomes as well. Ultimately, orthodontic treatment is a process and we want that process to be of the highest quality every step of the way. We help ensure this through internal services like an in-house orthodontic appliance lab (reducing wait & return times for patients), superior facilities and a memorable experience even in our waiting area.

The Process

From the moment you walk through our doors, you will know you are in a unique and special place. One where you will be treated with respect and expert hands. One where your children will be made to feel relaxed and informed.

We take great care from initial consult right through to the point where you leave us with your final plate or retainer. Our reception staff will introduce you to our facilities and can organise a walk through so you can see us in action. We encourage questions and all of our staff are more than willing to help decide if Bachmann is the right practice for you, long before you or your child become a patient.

Once in one of our treatment programs, you will be treated like family, safe in our extreme quality of care backed by extensive experience.

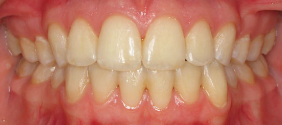
The Results

Here are just a sampling of images of braces before and after examples of what can be achieved with our SPEED system.

Previous Image
Next Image

info heading

info content

 

Our Facilities

 

Previous Image
Next Image

info heading

info content

Here to Help

Please contact us at Bachmann Orthodontics and we’ll be happy to book you in for a free initial assessment consultation at a time convenient for you. We can walk you through all your treatment options and their benefits.

Translate »